Томограф Philips Ingenuity Elite дает возможность получать высококлассную визуализацию при сниженной лучевой нагрузке в ряде педиатрических исследований, в том числе для диагностики патологии брюшной полости, легких, сосудов и костной системы в ортопедии и травматологии. В числе основных преимуществ аппарата – технология IMR, которая позволяет специалистам получать практически бесшумные изображения с существенно более низкой лучевой нагрузкой и сохранением диагностического качества визуализации. Благодаря улучшенной визуализации мелких деталей технология IMR дает уверенность в правильности полученных показателей. Массив полученных данных обрабатывается на рабочей станции IntelliSpace Portal IX, что обеспечивает высокую продуктивность работы отделения.
Philips, один из мировых лидеров в сфере решений для здравоохранения, активно сотрудничает с ведущими лечебными центрами по всей России. Введение в работу Российской детской клинической больницы им. Н.И. Пирогова нового компьютерного томографа обеспечит качественную диагностику широкого спектра заболеваний в педиатрии. Для всей нашей команды это еще и личная победа – мы не только сотрудники компании, но в первую очередь граждане России, поэтому искренне заботимся о том, чтобы маленькие пациенты получали своевременную медицинскую помощь, – отмечает Михаил Гончаров, старший директор направления систем медицинской визуализации компании Philips. – 128-срезовый КТ Philips Ingenuity Elite позволяет существенно снизить лучевую нагрузку, что особенно важно в педиатрии. Благодаря возможности получать большое количество срезов за короткий срок, время исследования значительно сокращается, ребенок испытывает меньший стресс, а врач получает точное изображение с первого раза.
.png)
Четвертое поколение технологии снижения дозы iDose4 позволяет существенно снизить уровень шума на изображениях и заметно улучшить визуализацию мягких тканей и сосудов при снижении дозы на величину до 80%.Превосходные клинические возможности, ориентация на пациента, высокая рентабельность, а также низкая доза — все это Ingenuity. Никаких компромиссов.
Функция SyncRight повышает согласованность введения контрастного вещества и позволяет снизить его дозу на величину до 15 %.
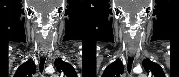
Сравнение двух снимков: слева – без включения iDose4, справа – с активной функцией.

Реконструкция изображений за секунды вместо минут
Компьютерный томограф Ingenuity позволяет быстрее получать изображения для анализа.
При использовании алгоритма реконструкции, входящего в состав технологии iDose4, изображения реконструируются за 60 секунд и более короткое время для 67 % протоколов исследования.
Одно нажатие кнопки компьютерной мыши в начале сканирования — и изображение уже готово для анализа на рабочей станции или другом компьютере
Клинические возможности
- Увеличение пространственного разрешения при том же уровне дозы на величину до 68%
- Снижение лучевой нагрузки на величину до 50 % при увеличении пространственного разрешения на величину до 35%
- Снижение лучевой нагрузки на величину до 80% при том же диагностическом качестве изображений
- Персонализированные инъекции контрастного вещества для поддержания стабильно высокого качества изображений
Система реконструкции изображений RapidView IR работает на 137 % быстрее аналогичной системы первого поколения, установленной на томографах Brilliance.
В стандартном режиме реконструкции она занимает менее 60 секунд для 86 % протоколов исследований.
При использовании технологии iDose4 реконструкция занимает менее 60 секунд для 67 % протоколов исследований.
Ускорение реконструкции на 137 % по сравнению с первым поколением системы RapidView.

Telegram
